- Paraphilias are differentiated from paraphilic disorders in the DSM-5 in an effort to recognize normal behavior.
Latest Updates


Nonobstetrical Surgical Conditions
- Recognizing the significance of prompt diagnosis and interventions for nonobstetric surgical emergencies during pregnancy
- Understanding the difficulty in making a diagnosis in pregnant women due to the anatomic and physiologic changes that occur during pregnancy
- Recognizing the importance of a multidisciplinary team approach (obstetricians, surgeons, anesthesiologists, and neonatologists) in the management of nonobstetric surgical emergencies in pregnant women

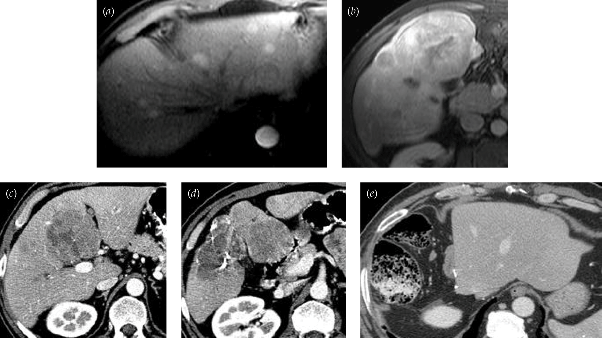
Surgical Treatment for Hepatocellular Carcinoma in the Era of Multiple Staging and Algorithm
- BCLC as the most widely accepted clinical staging system, recent update of the AJCC/UICC staging, AJCC/UICC staging system to predict outcome following surgical treatment

Surgical Treatment for Hepatocellular Carcinoma in the Era of Multiple Staging and Algorithm
- BCLC as the most widely accepted clinical staging system, recent update of the AJCC/UICC staging, AJCC/UICC staging system to predict outcome following surgical treatment
.png)
Sexual Dysfunction: Hypoactive Sexual Desire Disorder
- In postmenopausal HSDD, replacement transdermal testosterone and estradiol are shown effective in clinical trials
- In selected premenopausal HSDD, flibanserin, 5-HT1A receptor agonist and 5-HT2A receptor antagonists, is shown modestly effective
- HSDD afflicting women identified as treatable but significant national healthcare priority in the United States.

- Physicians need to be adept at communicating bad news in its entirety to patients to enable a decision-making process about disease management.
- Empathy is key in communicating bad news. Reactive rather than parallel empathy is more effective.
- Patients benefit from pairing hope to bad news but do not prefer that the bad news is underplayed.
- Models (SPIKES and Expanded Four Habits Model) are available to help structure this challenging interaction.
.png)
- Trauma-informed care has become a guiding force for providers taking care of patients that have experienced sexual assault and sex trafficking.
- The long-term effects of sexual trauma have been increasingly recognized, allowing health care providers to screen for, identify, and help treat these sequela.

- Physicians need to be adept at communicating bad news in its entirety to patients to enable a decision-making process about disease management.
- Empathy is key in communicating bad news. Reactive rather than parallel empathy is more effective.
- Patients benefit from pairing hope to bad news but do not prefer that the bad news is underplayed.
- Models (SPIKES and Expanded Four Habits Model) are available to help structure this challenging interaction.


.png)







