- Limb-sparing surgery with radiation for extremity soft tissue sarcoma is not inferior to amputation in outcome of disease-specific mortality.
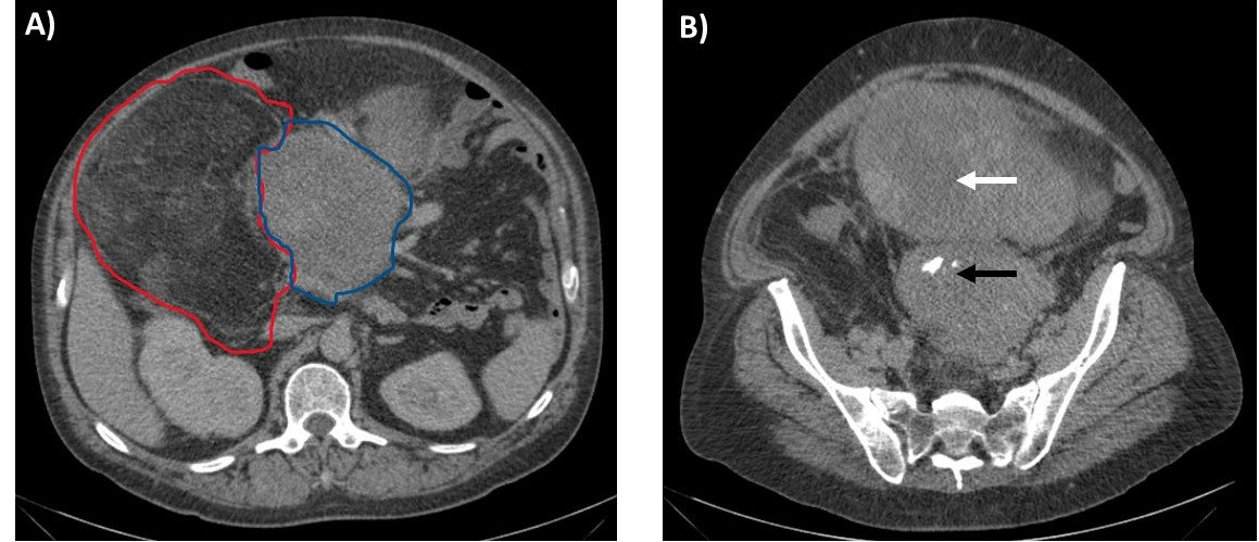
- Completeness of resection (R0, R1, R2) of retroperitoneal soft tissue sarcoma correlates with patient survival.
- Emerging molecular characterization of subtypes of liposarcoma has provided novel therapeutic targets, such as CDK4 inhibitors.
Latest Updates



Chronic Pelvic Pain: The Neuropathic Pain Basis
- Provides rapid categorization of the etiology of chronic pelvic pain (CPP) as neurogenic versus nonneurogenic by using an accurate, purposeful physical examination for specific peripheral neuropathies
- Demonstrates the roles of peripheral neuropathies in the etiology of CPP:
- Pudendal neuropathy as the major source
- Multiple smaller peripheral neuropathies as associated causes
- Offers a platform for cooperative patient care among end-organ specialists, neurologists, psychologists, pain clinicians, and interventional radiologists
- Highlights successful, sequential treatments that can be immediately adopted by any physician
- Implies that all clinical research studies of CPP should define whether study participants have a peripheral neuropathic basis for their CPP. To date, this has not been done, limiting the value of published study results.

Local Treatment in the Management of Oligometastatic Prostate Cancer
- Retrospective studies report a survival benefit for local treatment in metastatic prostate cancer (mPCa) patients.
- First data from a randomized trial does not show a survival benefit for the addition of external beam radiotherapy to androgen deprivation treatment in mPCa.
- Local tumor treatment in patients with mPCa should only be offered within trials.

- Limb-sparing surgery with radiation for extremity soft tissue sarcoma is not inferior to amputation in outcome of disease-specific mortality.
- Completeness of resection (R0, R1, R2) of retroperitoneal soft tissue sarcoma correlates with patient survival.
- Emerging molecular characterization of subtypes of liposarcoma has provided novel therapeutic targets, such as CDK4 inhibitors.

- Targeting calcitonin gene related peptide can improve migraine pain
- Greater occipital nerve blocks may alleviate migraine acutely
- Clinical decision rules can be used to exclude subarachnoid hemorrhage

Coma and Disorders of Consciousness
- Non-convulsive status epilepticus is an important cause of coma that requires EEG for diagnosis.
- Basilar artery stroke is a treatable cause of altered mentation
- Physicians should actively seek to identify treatable structural or metabolic causes of coma



.png)






