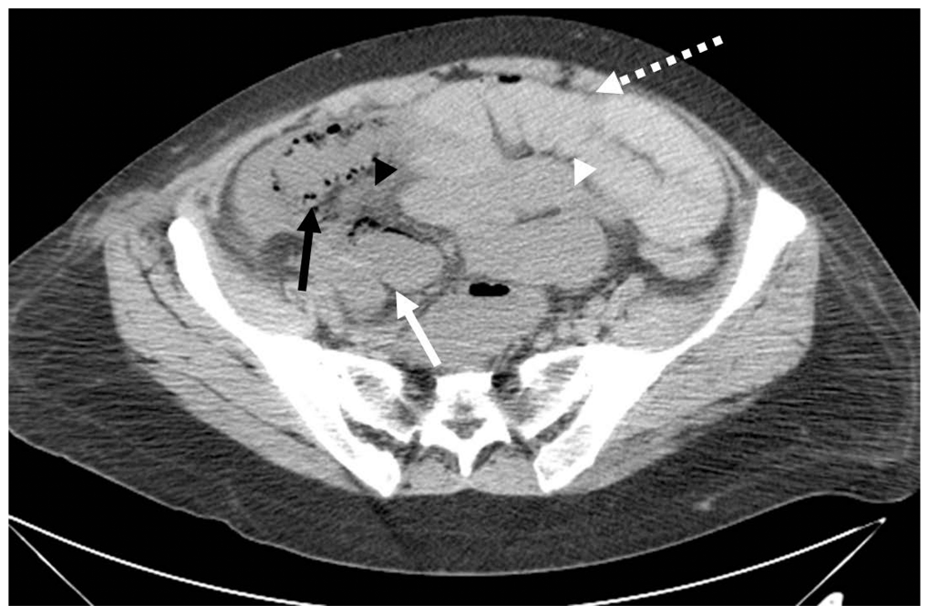
- Water-soluble contrast medium administered orally can predict whether bowel obstruction will resolve without intervention and shorten hospitalization time.
- Although laparoscopic adhesiolysis is associated with faster recovery, some evidence suggests that the rate of bowel injury is significantly higher in patients undergoing laparoscopic versus open adhesiolysis.
- Patients with colonic obstruction who undergo endoscopic placement of a self-expanding metal stent can often undergo resection with primary anastomosis during the same hospitalization.
Latest Updates


- HEV is a leading cause of acute viral hepatitis worldwide but is largely underrecognized by the medical community, especially in developed countries.
- Locally acquired hepatitis E is more common in developed countries than previously thought and can lead to unusual clinical manifestations.
- Immunocompromised patients, such as transplant recipients, are at an increased risk of complications from HEV infection, including development of chronic infection.
- A safe and effective vaccine is licensed for use in China, but has not been prequalified by the WHO, thus preventing further distribution.

- HEV is a leading cause of acute viral hepatitis worldwide but is largely underrecognized by the medical community, especially in developed countries.
- Locally acquired hepatitis E is more common in developed countries than previously thought and can lead to unusual clinical manifestations.
- Immunocompromised patients, such as transplant recipients, are at an increased risk of complications from HEV infection, including development of chronic infection.
- A safe and effective vaccine is licensed for use in China, but has not been prequalified by the WHO, thus preventing further distribution.

Noninvasive and Invasive Ventilatory Support II
- Lung protective ventilation
- Sedation management in mechanical ventilation
- Reduction in ventilator induced injury
- Early liberation from mechanical ventilation

Noninvasive and Invasive Ventilatory Support I
- Heated high-flow nasal cannula for hypoxemia in chronic obstructive pulmonary disease, congestive heart failure, and selected surgical patients
- Options for noninvasive support of respiratory failure
- Increasing sophistication of available mechanical ventilation modes

- Water-soluble contrast medium administered orally can predict whether bowel obstruction will resolve without intervention and shorten hospitalization time.
- Although laparoscopic adhesiolysis is associated with faster recovery, some evidence suggests that the rate of bowel injury is significantly higher in patients undergoing laparoscopic versus open adhesiolysis.
- Patients with colonic obstruction who undergo endoscopic placement of a self-expanding metal stent can often undergo resection with primary anastomosis during the same hospitalization.

Urothelial Carcinoma: Epidemiology, Pathogenesis, and Diagnosis
- Restrictions and bans on environmental, industrial and herbal medicine-related carcinogenic agents have largely eliminated these agents as drivers for urothelial cancers in industrialized countries; tobacco smoking remains the primary driver of bladder tumors in these countries.
- The diagnosis and management of urothelial carcinomas are rapidly evolving with urine- and blood-based biomarkers in development to diagnose and monitor patients with bladder tumors.
- Multimodality therapies including minimally invasive tumor resection and topical chemotherapy allow a majority of patients with bladder cancer to receive organ-sparing approaches.

- The first three positions of the five-position code developed by the North American Society of Pacing and Electrophysiology and the British Pacing and Electrophysiology Group are used to describe commonly used pacing modes.
- Magnetic Resonance Imaging (MRI) has traditionally been a source of electromagnetic interference, but recent research suggests that protocolized MRI can be safe for patients with pacemakers, even patients with legacy pacemaker systems.
- The Heart Rhythm Society has published guidelines to assist in decision making regarding lead extraction.


.png)







