- Positron emission tomography has proven to be very useful in the preoperative evaluation for metastasis and the post treatment evaluation of response to therapy in patients treated for head and neck cancer.
- For surgical planning, a contrast-enhanced computed tomography and magnetic resonance imaging remain the most useful radiologic procedures when managing lesions of the oral cavity.
- Transoral Robotic Surgery has become a useful tool in the management of select oropharyngeal squamous cell cancers but has not had a significant impact on the management of oral cavity cancers.
Latest Updates


Diagnostic and Therapeutic Principles In Allergy
- Development of biologic therapies (primarily anti-cytokine) for the treatment of allergic diseases including asthma.
- Use of sIgE component testing for diagnosis and treatment of food allergy
- Early peanut introduction to prevent peanut allergy
- Novel treatment options for food allergy

- Compression should be considered in patients with leg ulcers and ankle brachial index greater than 0.8.
- Pyoderma gangrenosum lesions ≤2 cm2 may benefit from topical/intralesional corticosteroids
- Chronic hydroxyurea therapy may lead to leg ulcers. Lesions typically occur near the malleolar area.
- Proper diagnosis/therapy of the underlying condition are key when clinicians are face atypical wounds.

Medical Management of Transplant Patients
- Alternatives therapies calcineurin inhibitors to prevent kidney allograft fibrosis.
- Maintenance immunosuppression with belatacept preserves glomerular filtration and increases kidney allograft survival.
- Better understanding and management of post transplant diabetes mellitus.
- The crush and snip technique is a quick and relatively bloodless method for skin removal in blepharoplasty.
- Care should be taken not to overresect fat and leave a sunken appearance to the upper eyelid.
- A simple Q-stick swab is one of the most useful instruments for the procedure of blepharoplasty.

Postresuscitation Management And Outcomes
- Therapeutic hypothermia is recommended for comatose survivors of cardiac arrest. The most recent evidence suggests that avoiding pyrexia may be the most important factor.
- The AHA recommends against prehospital cooling with cold intravenous fluid.
- Percutaneous coronary intervention is an independent predictor of survival.
- Prognostication is not recommended until 72 hours after return to normothermia in patients undergoing therapeutic hypothermia.
- Debriefing has been shown to improve several metrics of subsequent resuscitations.

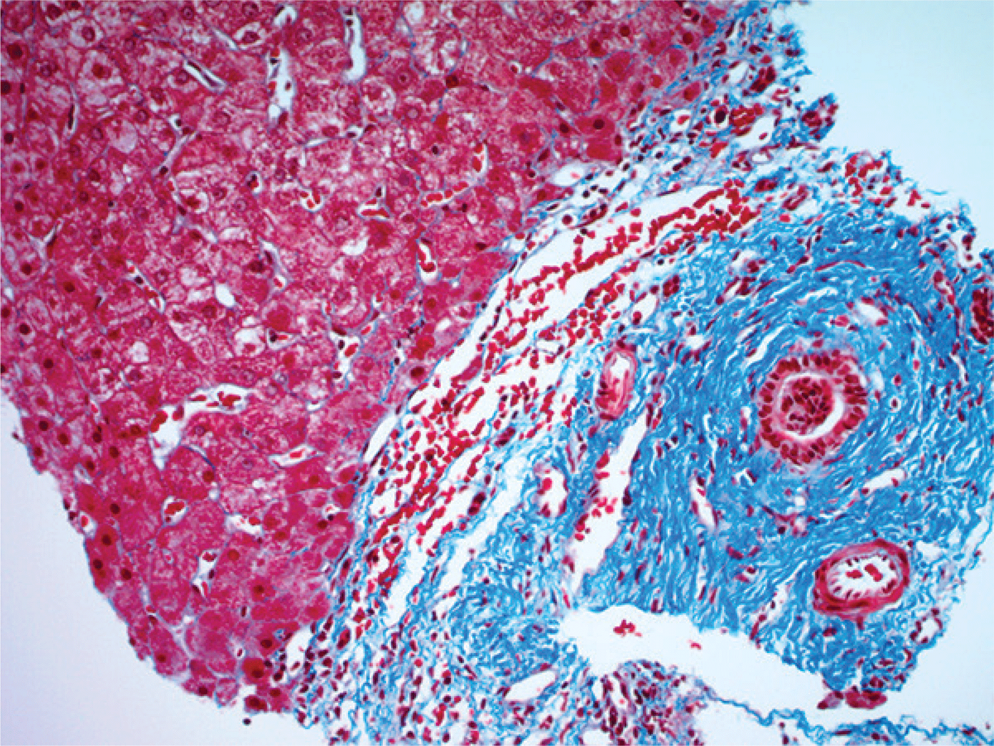
Evaluation Of Elevated Transaminases In Children
- The threshold for the upper limit of normal for ALT is lower in children than previously reported based on studies of healthy, nonobese children.
- NAFLD needs to be identified and addressed in childhood as obese adolescents have a higher rate of complications in adulthood.
- NAFLD is a common indication for liver transplantation in adults.



.png)







