- Describe anomalous anatomy that should be familiar to vascular clinicians.
- Review pitfalls that may be encountered because of these variations.
- Present images of encountered cases that highlight the clinical relevance of vascular anatomy.
Latest Updates


Depressive Disorders: Update on Diagnosis, Etiology, and Treatment
- The DSM-5 includes new specifiers, such as mixed features, anxious distress, and peripartum onset. This addition will be helpful in making treatment-planning decisions related to suicide risk and treatment.
- Neuroimaging findings showed that individuals with depressive disorders display alterations in the activity and connectivity of brain regions underlying reward and memory. This could explain symptoms such as reduced happiness, pleasure, and negative memories.
- Neuroimaging techniques are gaining in importance in predicting treatment response and risk of relapse. For instance, patients with higher amygdalar activity are more likely to respond to psychotherapy.
- There is no “one” way of treating depression, and treatment should be personalized. There are a number of effective treatments, including pharmacotherapy and psychotherapy (separately or combined) and neurostimulation. It is important that health professionals help patients find the right treatment for their needs.
- Neuromodulation techniques such as vagal nerve stimulation and transcranial magnetic stimulation have been shown to have beneficial therapeutic effects. They are, however, long-term therapies, and medications are needed to manage some residual symptoms.

Delirium In The Emergency Department: Diagnosis, Evaluation, And Management
- Confusion Assessment Method for delirium diagnosis: the first diagnostic tool to operationalize the DSM definition of delirium; currently the most widely used tool for delirium diagnosis; validated in numerous clinical settings and languages and adapted for use in the ICU.
- Delirium Triage Screen (DTS): the only delirium tool developed for use in the emergency setting; consists of two questions assessing attention and level of arousal/consciousness using the Richmond Agitation Sedation Scale. The DTS can reliably exclude delirium in a matter of seconds; patients with a positive DTS screen should undergo a secondary screening with a test with greater specificity.
- Delirium prevention decreases the morbidity, mortality, and health care costs for hospitalized patients. The Hospital Elder Life Program is a multicomponent intervention to prevent delirium in hospitalized older patients. The New England Journal of Medicine was the first successful nonpharmacologic delirium prevention program and addressed reorientation, sleep protocols, mobility, and hearing and visual impairments. A recent meta-analysis demonstrated that multicomponent nonpharmacologic programs are effective in delirium prevention in medical and surgical inpatient settings.

Bipolar Disorder: An Update on Diagnosis, Etiology, and Treatment
- In the DSM-5, the diagnosis of mania or hypomania requires the presence of increase in energy or goal-directed activities compared with the habitual in the subject along with mood elevation. This change will contribute to increasing diagnostic reliability.
- In the DSM-5, the term mixed feature is a course specifier and can be applied to depressive, manic, and hypomanic episodes. Seasonal patterns can now be used for all types of mood episodes. These changes will lead to alterations in study designs and data analysis and potentially advance mental health research.
- There is increasing evidence of the thinning of cortical gray matter in the brains of patients with bipolar disorder when compared with healthy controls. The greatest deficits were found in parts of the brain that control inhibition and emotion, such as the frontal and temporal regions. This finding clarifies aspects of the mechanisms underlying the developments and maintenance of bipolar symptoms.
- Neuroimaging studies showed that lithium treatment was associated with reduced thinning of gray matter, which suggests a protective effect of this medication on the brain.
- Combining pharmacotherapy and psychotherapy can reduce the rate of recurrence mood episodes and medication adherence in bipolar patients. Electroconvulsive therapy is highly effective and can be beneficial in treatment-resistant patients.

Delirium In The Emergency Department: Diagnosis, Evaluation, And Management
- Confusion Assessment Method for delirium diagnosis: the first diagnostic tool to operationalize the DSM definition of delirium; currently the most widely used tool for delirium diagnosis; validated in numerous clinical settings and languages and adapted for use in the ICU.
- Delirium Triage Screen (DTS): the only delirium tool developed for use in the emergency setting; consists of two questions assessing attention and level of arousal/consciousness using the Richmond Agitation Sedation Scale. The DTS can reliably exclude delirium in a matter of seconds; patients with a positive DTS screen should undergo a secondary screening with a test with greater specificity.
- Delirium prevention decreases the morbidity, mortality, and health care costs for hospitalized patients. The Hospital Elder Life Program is a multicomponent intervention to prevent delirium in hospitalized older patients. The New England Journal of Medicine was the first successful nonpharmacologic delirium prevention program and addressed reorientation, sleep protocols, mobility, and hearing and visual impairments. A recent meta-analysis demonstrated that multicomponent nonpharmacologic programs are effective in delirium prevention in medical and surgical inpatient settings.

- The length of the menstrual cycle has been historically defined as 28 days ± 7 days. What is considered normal or regular for a given woman may vary widely among women, yet over the course of a woman’s reproductive life, there is little cycle-to-cycle variance, with the exception of adolescence and the menopause transition.
- The unbound fraction of the steroid hormones is lipophilic, diffuses readily across cell membranes, and binds to hormone-specific receptors to initiate transcriptional events. This binding may activate or repress transcription depending on the gene and promoter.
- The normal formation of the zona pellucida and its glycoproteins, such as ZP1-3, during the primary follicle stage is essential for human fertilization.
- In addition to estrogen secretion, granulosa cell secretion of growth factors such as growth hormone, epidermal growth factor, and insulinlike-growth factor contributes, and is likely critical for, maturation of the oocyte.

Diet Advancement after Weight Loss Surgery
- Enhanced recovery after bariatric surgery (ERABS) protocols provide evidence that early oral intake is feasible
- Food tolerance studies provide guidance for foods that are likely to cause gastrointestinal distress in the early postoperative period
- New protocol published for preventing hyper- and hypoglycemia in patients with type 2 diabetes in the early postoperative period

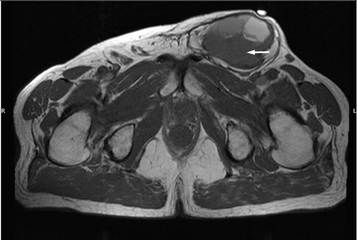
Evaluation of a Soft Tissue Mass in the Extremity or Trunk
- Multidisciplinary planning and use of core-needle biopsy for diagnosis of soft tissue sarcoma
- Impact of tumor grade and histologic subtype on outcomes for soft tissue sarcoma
- Development of molecular diagnostic testing for soft tissue sarcoma


.png)







