Complications of Arteriovenous Hemodialysis Access
Latest Updates

- The incidence of renal cell carcinoma (RCC) is rising worldwide. Incidental detection of small renal tumor accounts for more than 50% of all new renal masses.
- RCC is a very heterogeneous disease, and different histologic subtypes have been recognized. The understanding of the biology underlying the different tumor types arising from the kidney epithelium has opened new avenues to better define prognosis, to develop biomarkers, and to individualize therapies across the different cancer subtypes.
- Management of kidney tumors has advanced significantly in the last few decades. A multidisciplinary approach is critical in the decision-making process.
- Recently, the new immunotherapy approaches have led to renewed hope in the treatment of metastatic RCC.

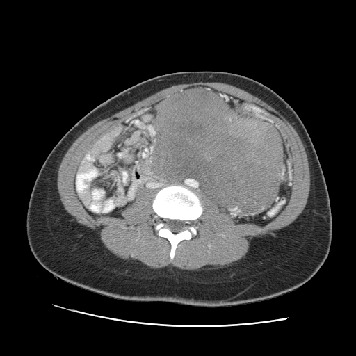
Evaluation of Intra-abdominal and Retroperitoneal Soft Tissue Masses
- Initial evaluation of intra-abdominal and retroperitoneal masses including laboratory studies, radiographic imaging, and genetic workup
- Discussion of when and how biopsies should be performed for intra-abdominal and retroperitoneal masses
- Discussion of management of complex sarcomas and when neoadjuvant chemotherapy or radiotherapy should be considered

Evaluation of Intra-abdominal and Retroperitoneal Soft Tissue Masses
- Initial evaluation of intra-abdominal and retroperitoneal masses including laboratory studies, radiographic imaging, and genetic workup
- Discussion of when and how biopsies should be performed for intra-abdominal and retroperitoneal masses
- Discussion of management of complex sarcomas and when neoadjuvant chemotherapy or radiotherapy should be considered

- Skin- and nipple-preserving mastectomy
- Improvement in implant device design and materials
- Microsurgical/perforator flap reconstruction
- Intraoperative perfusion assessment
- Fat grafting

- Skin- and nipple-preserving mastectomy
- Improvement in implant device design and materials
- Microsurgical/perforator flap reconstruction
- Intraoperative perfusion assessment
- Fat grafting

Bipolar Disorder: An Update on Diagnosis, Etiology, and Treatment
- In the DSM-5, the diagnosis of mania or hypomania requires the presence of increase in energy or goal-directed activities compared with the habitual in the subject along with mood elevation. This change will contribute to increasing diagnostic reliability.
- In the DSM-5, the term mixed feature is a course specifier and can be applied to depressive, manic, and hypomanic episodes. Seasonal patterns can now be used for all types of mood episodes. These changes will lead to alterations in study designs and data analysis and potentially advance mental health research.
- There is increasing evidence of the thinning of cortical gray matter in the brains of patients with bipolar disorder when compared with healthy controls. The greatest deficits were found in parts of the brain that control inhibition and emotion, such as the frontal and temporal regions. This finding clarifies aspects of the mechanisms underlying the developments and maintenance of bipolar symptoms.
- Neuroimaging studies showed that lithium treatment was associated with reduced thinning of gray matter, which suggests a protective effect of this medication on the brain.
- Combining pharmacotherapy and psychotherapy can reduce the rate of recurrence mood episodes and medication adherence in bipolar patients. Electroconvulsive therapy is highly effective and can be beneficial in treatment-resistant patients.

- Medical futility has developed as an ethical construct to approach patient/family requests for clinical interventions that are not medically effective in achieving their intended goal and creates recourse for clinicians to address these requests.
- Several states now have legislation that govern medical futility that offers protections for both clinicians and patients and families.
- A process-based approach incorporating the concept of “potentially inappropriate” care has now been established in society guidelines promoting a shared decision-making approach and aligning the goals of clinicians and patients and families.



.png)







