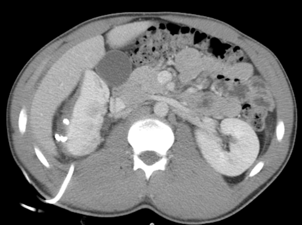
- New renal staging criteria
- AUA and EUA trauma guidelines
- Differences in etiology and management between adult and pediatric renal trauma
Latest Updates


Postoperative Management of Liver Transplant Patients
- Donor and operative considerations: In an era of major donor shortage, advancing the use of marginal livers is imperative. Extended criteria donors can be successful if careful management and operative skills are implemented.
- Cardiovascular hemodynamics in liver transplant recipients: Liver transplant patients’ cardiovascular needs can vastly differ from those of standard postoperative patients, and addressing differences can improve care.
- Intensive care unit (ICU) and transplant team communication: Create standardization between ICU and transplant team communication can lead to increased graft and patient survival, allowing for both teams’ expertise to be maximally used.

Role of Radiotherapy in Localized Prostate Cancer
- The current AUA/ASTRO consensus guidelines recommend adjuvant RT in postoperative patients with high-risk pathologic features (pT3 or positive margins).
- PSA monitoring could be an alternative; however, early administration of radiation is warranted if there is a sign of progression.
- The prognostic value of preradiation PSA is well established.
- Doses above 65 Gy to the prostate bed are recommended in the postoperative setting.
- The role of pelvic radiation is being investigated; currently, the decision is based on clinical judgment.
- Short-term ADT should be discussed with patients starting postoperative RT.

Vascular Disorders of the Hand
- The use of botulinum toxin for the management of digital ulcerations and ischemia associated with Raynaud disease is becoming more widely accepted as results have been positive.
- Magnetic resonance angiography is improving at a rapid rate and may supplant standard angiography as image quality and resolution improve.

Stress Urinary Incontinence Assessment and Conservative Treatments
- Clinicians may perform a multichannel urodynamic study in patients with both symptoms and physical findings of stress urinary incontinence (SUI) who are considering invasive, potentially morbid, or irreversible treatments.
- Clinicians should perform repeat stress testing with the urethral catheter removed in patients suspected of having SUI who do not demonstrate this finding with the catheter in place during urodynamic testing.
New mechanical device for SUI

Human Trafficking 1: Epidemiology
- The US Department of State’s Trafficking in Persons Report 2016 included country narratives on the occurrence of human trafficking in 188 of the 195 entities recognized as countries by the Central Intelligence Agency as of January 2017.
- As of January 2017, the Trafficking Victims Protection Act of 2000 has been reauthorized in 2003, 2005, 2008, and 2013.
- Although the exact US prevalence of human trafficking remains elusive, cases involving over 30,000 potential trafficking victims have been reported in all 50 states, the District of Columbia, and US territories since 2007.
Male-to-Female Gender-Confirming Surgery
- Approaches to breast augmentation in the male-to-female transgender patient require special attention outside of conventional breast augmentations.
- Understanding the differences in the nipple-areola complex (NAC) between females and males when undertaking gender-confirming breast augmentations
- Special consideration is needed for the clitoral and urethral anatomy in gender-confirming vaginoplasty.
- Postoperative care and complications in gender-confirming vaginoplasty require close follow-up and consideration.

- Subdural hematoma and traumatic subarachnoid blood are the most common hemorrhagic computed tomographic (CT) findings in patients with head injury.
- In the patient with signs of brain herniation and borderline or shock vital signs, the ideal hyperosmotic agent is hypertonic saline.
- Although the incidence of traumatic findings on a cranial CT scan in patients with head injury, loss of consciousness, and a Glasgow Coma Scale score of 15 is about 6%, the need for neurosurgical intervention in this cohort is 0.4%.
- Guidelines for ordering CT scans in adults after head trauma are the Canadian CT head rule and the New Orleans criteria. The guideline for pediatric patients is the PECARN set of rules.
- Four-factor prothrombin complex concentrate can rapidly reverse the effects of warfarin in patients with intracranial hemorrhage.
- For the athlete with head injury, immediate removal from play and a graded increase in activity as long as the patient is asymptomatic are the basis of concussion management.


.png)







