• Variable laser settings
• Working wires
• Troubleshooting difficult ureteral access
Latest Updates

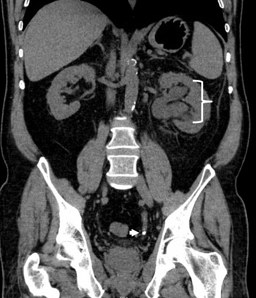
• Low-dose CT use for diagnosis of stones in pregnancy
• Increased use of ureteroscopy (URS) as primary treatment modality, ultrasonography-guided URS
• Emerging use of medical expulsive therapy in pregnant women

The Risk Of Surgery In Patients With Liver Disease 2
- Presents extensive evidence-based appreciation of the risks of operating on patients with some non-cirrhotic liver disease, particularly various forms of acute hepatitis —especially alcoholic—acute liver failure, steatosis, and steatohepatitis, and rare entities such as Wilson disease.
- Substantiates the relative safety of minimally invasive surgery in patients with mild or moderately advanced cirrhosis, compared to open surgery, for many operations.
- Amasses numerous clinical results that link the outcomes of a wide spectrum of surgical operations in patients with cirrhosis to indices of severity of liver injury, especially the Child-Turcotte-Pugh (CTP) score and class, and/or the model for end-stage liver disease (MELD) score.
- Describes a decision tree devised to guide clinicians in determining whether or not to proceed to surgery in any given patient with acute or chronic liver disease, depending on the severity of the liver disease.

- Wide local excision is the standard of care for resectable nonmetastatic primary cutaneous melanoma.
- Clinically positive lymph nodes are an indication for therapeutic lymphadenectomy.
- A positive sentinel lymph node biopsy is an indication to discuss completion lymphadenectomy; however, evidence continues to evolve regarding selection of patients for surgery.
- Minimally invasive groin lymphadenectomy offers equivalent oncologic outcomes and less associated morbidity than its open counterpart.

- Wide local excision is the standard of care for resectable nonmetastatic primary cutaneous melanoma.
- Clinically positive lymph nodes are an indication for therapeutic lymphadenectomy.
- A positive sentinel lymph node biopsy is an indication to discuss completion lymphadenectomy; however, evidence continues to evolve regarding selection of patients for surgery.
- Minimally invasive groin lymphadenectomy offers equivalent oncologic outcomes and less associated morbidity than its open counterpart.

Prenatal Screening and Diagnosis
- cfDNA has become a highly effective screen for the common aneuploidies, with a low-risk false positive rate.
- Microarray has the ability to detect submicroscopic deletions and additions of genetic material, greatly improving our ability to diagnose genetic syndromes prenatally.
- Compared with traditional karyotype analysis, chromosomal microarray can detect much smaller variations in genetic material and may yield clinically significant information not otherwise detected by karyotype analysis.

- Preeclampsia can progress to severe preeclampsia, eclampsia, HELLP syndrome, and acute fatty liver of pregnancy, which are associated with an increased risk of peripartum and fetal complications.
- Lamivudine, telbivudine, and tenofovir are safe treatments for chronic hepatitis B during pregnancy.
- New direct-acting antiviral treatments for chronic hepatitis C are not approved for use during pregnancy.
- Endoscopic retrograde cholangiopancreatography and laparoscopic cholecystectomy have been reported to be safe in pregnancy.




.png)







